
Full arch implants for patients across Cheshire
Full mouth dental implants Knutsford: All-on-4 implants
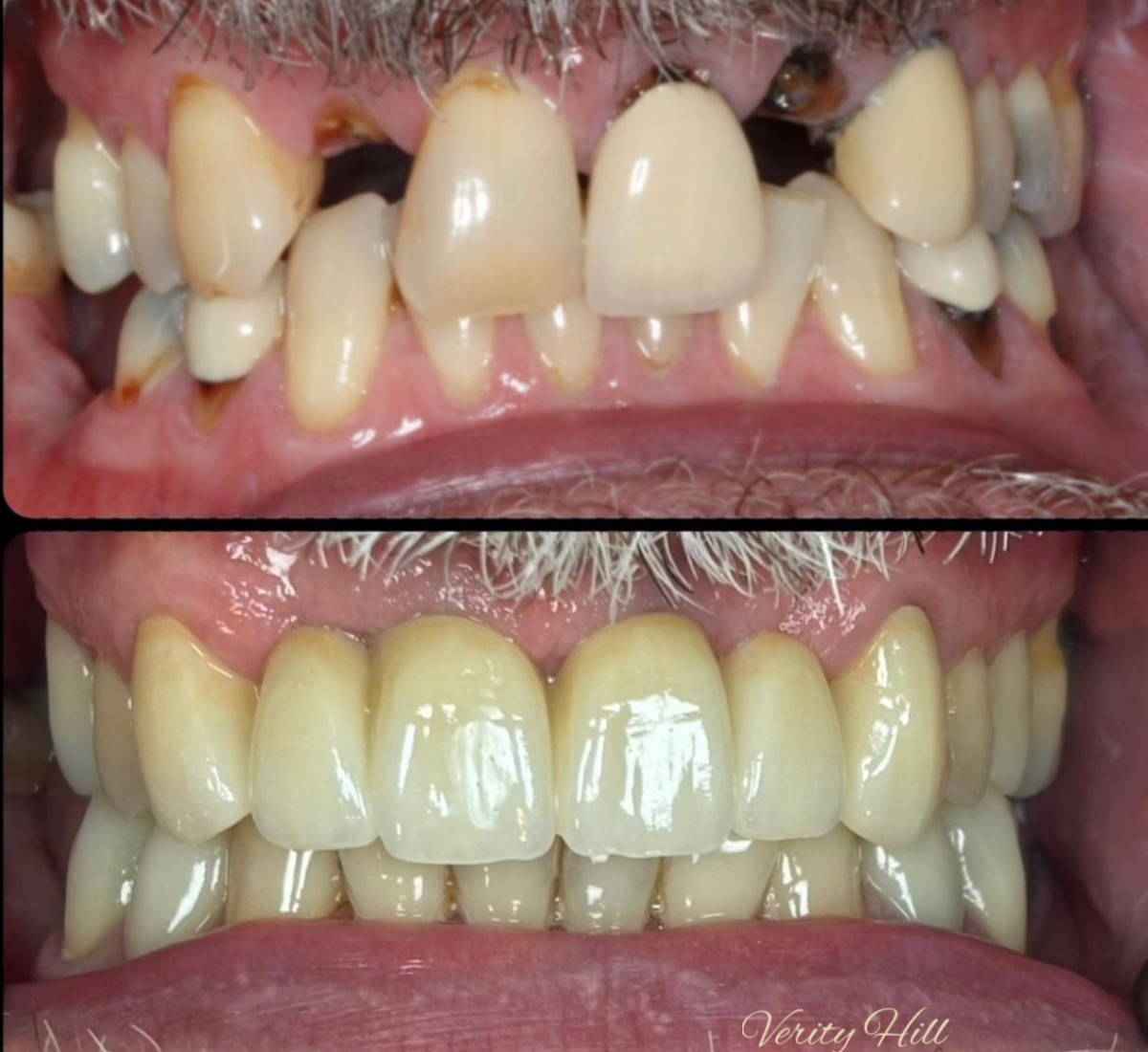
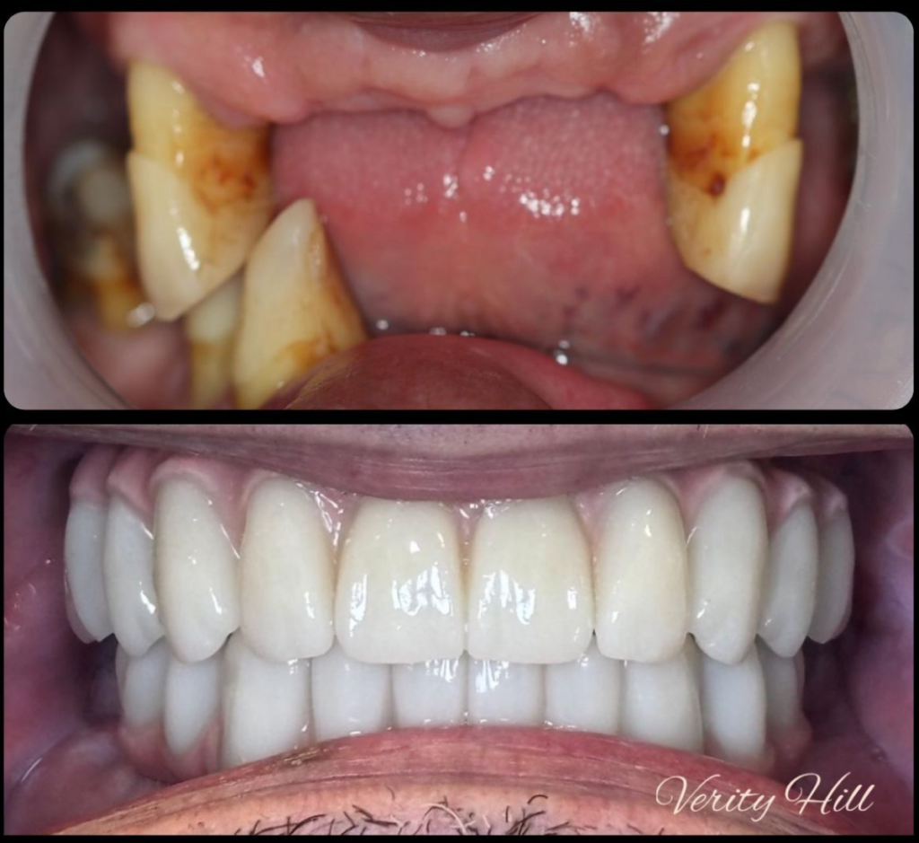
At Kclinic in Knutsford, we offer All-on-4 dental implants: a permanent, fixed solution for those living with failing teeth, significant tooth loss, or uncomfortable dentures. Using just four implants to support a complete arch, this same-day treatment restores your smile, your confidence, and your quality of life, without the need for bone grafting in most cases.
What are All-on-4 Dental Implants?
All-on-4 is a full arch restoration technique that replaces an entire upper or lower set of teeth using only four strategically placed titanium implants as anchors. Two implants are positioned vertically at the front, and two are angled at the back to maximise contact with existing bone, meaning complex and costly bone grafting procedures can often be avoided entirely. A temporary fixed set of teeth is attached on the same day as surgery, with a permanent set fitted after a few months of healing.
Why choose All-on-4 at Kclinic?
- Same-day teeth: you leave with a new, functional smile in a single visit
- No bone grafting required in most cases, thanks to the angled implant placement
- Fixed, non-removable teeth that restore up to 90% of natural biting power
- Long-lasting results that, with proper care, can last 15 years or more

The dental implant process
1.
Assessment
A thorough consultation including 3D imaging and a full evaluation of your jaw structure, bone density, and oral health to confirm suitability and plan your treatment precisely.
2.
Surgery
Any remaining failing teeth are removed and four titanium implants are placed in a single visit, under local anaesthetic. A temporary fixed set of teeth is attached the same day.
3.
Healing
Over the following months, your implants fuse naturally with the jawbone. During this period you leave with functional, natural-looking temporary teeth in place.
4.
Restoration
Once healing is complete, your permanent, custom-made set of teeth is fitted, giving you a stable, beautiful smile built to last.
Is All-on-4 Right for You?
All-on-4 dental implants are suitable for a wide range of patients. You may be an ideal candidate if you are:
- Living with significant tooth loss or a failing dentition
- Struggling with loose, uncomfortable, or ill-fitting dentures
- Dealing with advanced decay or gum disease that has compromised multiple teeth
- Looking for a permanent, fixed alternative to removable dentures without the complexity of a full implant-per-tooth solution

The benefits of full mouth dental implants
A smile that changes everything
- Fixed, permanent teeth that look, feel, and function like your natural ones
- Restore up to 90% of natural biting power, so you can eat without restriction
- No denture creams, no slipping, no removing teeth at night
- Preserve your jawbone and facial structure, preventing the sunken appearance that follows tooth loss
- A lasting investment in your confidence, health, and quality of life
- Fewer implants than traditional full mouth restoration, with a more straightforward treatment process

— frequently asked questions —
Quick answers to your questions
Is All-on-4 painful?
The procedure is carried out under local anaesthetic, so you should feel no pain during surgery. Some tenderness and swelling in the days following is normal and manageable with over-the-counter pain relief. Most patients find the experience far more comfortable than they anticipated.
How long does the treatment take?
The surgery itself is completed in a single day. Your permanent teeth are typically fitted a few months later, once the implants have fully integrated with the jawbone.
Do I need bone grafting?
In most cases, no. The angled placement of the rear implants is specifically designed to make the most of existing bone density, which means bone grafting can often be avoided entirely.
How long do All-on-4 implants last?
With proper care and regular dental check-ups, All-on-4 implants can last 15 years or more. Many patients enjoy their results for considerably longer.
Can I eat normally with All-on-4 implants?
Yes. Once your permanent teeth are fitted, you can eat a full and varied diet with confidence. During the healing phase, softer foods are recommended to protect the temporary teeth.
Am I too old for All-on-4 implants?
Age alone is rarely a barrier. Suitability is assessed on the basis of your overall health and bone structure rather than age. A consultation with our team will confirm whether All-on-4 is the right option for you.